По статистике около 30% стоматологических болезней приходится на пульпит. Данная патология сопровождается сильным воспалением, поражающим ткани зуба и сосудисто-нервный пучок. Вследствие этого пульпа, имеющая сложную структуру, воспаляется, что сопровождается острой болью. Лечение пульпита требует обязательного вмешательства стоматолога.
Развитие пульпита крайне негативно сказывается на общем состоянии ротовой полости, нарушает эстетику зубов, снижает качество жизни больного. При отсутствии квалифицированного лечения заболевание способно привести к потере зуба и опасным осложнениям.
Причины развития пульпита
Пульпит – это результат жизнедеятельности патогенных микроорганизмов, проникающих прямо в пульпу сквозь кариозные полости. Также в редких случаях инфицирование возможно посредством проникновения бактерий через мелкие кровеносные сосуды, ведущие к корню зуба.
К основным провоцирующим факторам развития заболевания можно отнести следующие:
- невылеченный кариес, запущенный на длительный период;
- попадание на ткани зуба веществ, раздражающих пульпу;
- скрытая инфекция под старым пломбировочным материалом (пульпит под пломбой);
- резкая смена климата.
Иногда развитию пульпита предшествуют механические повреждения в виде различных травм, связанных с бытовыми происшествиями или профессиональной деятельностью.
Клиническая картина при пульпите

Перепутать патологию с обычным кариесом практически невозможно ввиду выраженных симптомов:
- острая, длительно нестихающая боль в зубе (нарастает в ночное время);
- сильная реакция на холодное и горячее;
- нарушение сна;
- распространение боли по всему лицу или челюсти с иррадиацией в голову, шею, уши;
- высокая температура (чаще встречается у детей);
- отсутствие аппетита;
- локальный отек и гиперемия десневой ткани.
Признакам пульпита характерны появление зловонного запаха изо рта, пульсирующая боль, «прострелы» в зубе. Купировать болезненные ощущения приемом обезболивающих можно лишь на время и только в отдельных случаях.
Каким бывает пульпит?
Определить форму заболевания можно по его проявлениям. В зависимости от симптоматики выделяют следующие виды:
- Острый пульпит – ему свойственны боли, появляющиеся произвольно, без каких-либо явных воздействий на зуб. Для возникновения неприятных ощущений не требуется вмешательства раздражающих факторов. При этом боль может носить приступообразный и спонтанный характер. По мере прогрессирования заболевания частота подобных приступов и их выраженность увеличиваются, особенно ночью.
- Хронический пульпит. Данная форма сопровождается длительно проходящими болями, возникающими при воздействии на зуб холодного, чаще горячего. В более редких случаях болезнь протекает в скрытой форме, не имея заметных проявлений.
Как обнаружить пульпит?
Определить заболевание возможно только по результатам диагностики: необходимо провести осмотр и опрос пациента, а также провести рентген. Решение о постановке диагноза принимает врач после комплексного обследования:

- Для начала необходима консультация стоматолога, в рамках которой врач выслушает жалобы пациента и выяснит характер болевых ощущений.
- Далее проводится визуальный осмотр ротовой полости. Это позволяет оценить интенсивность боли и предположить форму заболевания.
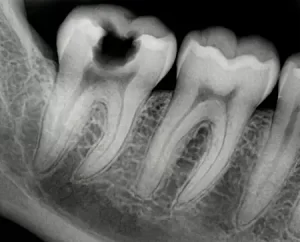
- Рентгенография. Позволяет распознать пульпит на снимке по ряду объективных признаков.
- Выполнение температурных тестов. На зуб локально оказывается воздействие разными температурными режимами, чтобы определить, насколько зуб восприимчив к термическим раздражителям.
- Зондирование. Диагностика с использованием тончайшего зонда, с помощью которого врач оценивает состояние пульпы.
Также по решению стоматолога может назначаться электродиагностика пораженного зуба.
Этапы лечения
Заболевание требует обязательного лечения при соблюдении следующих этапов:
- В первое посещение стоматолога зуб депульпируется (при воспалении зубного нерва), выполняется лечение каналов, ставится временная пломба.
- В рамках второго визита временная пломба удаляется и заменяется постоянной.
Количество визитов напрямую зависит от стадии и формы пульпита.
Как лечат пульпит у взрослых?
Практикуются следующие методики терапии:
- Медикаментозное лечение пульпита. Предполагает консервативный подход, направленный на применение препаратов, оздоравливающих ткани зуба и снимающих воспаление. Прогноз при консервативной терапии положителен, если пульпит не является запущенным и пациент обратился к стоматологу своевременно.
- Оперативное вмешательство. Данный метод прямо показан при наличии выраженных болевых симптомов у пациента, что свидетельствует о необратимом процессе воспаления пульпы, при котором микроорганизмы уже находятся внутри сосудисто-нервного пучка. В таких случаях необходимо полностью удалить пульпу зуба из всех корневых каналов и заместить её на пломбировочный материал.
Как лечится пульпит у детей?
В целом методика терапии молочных зубов не отличается от схемы лечения, актуальной для взрослых пациентов. Разница кроется лишь в более щадящем подходе и применении материалов, неспособных повредить зачаток будущего корня.
Задача детского стоматолога – приложить все усилия для сохранения тканей зуба. При наличии такой возможности, врач не прибегает к хирургическим манипуляциям.
Чем опасны осложнения?
Нежелание лечить заболевание может привести к самым плачевным последствиям в виде периодонтита, воспаления тройничного нерва, остеомиелита и даже заражения крови.
Сколько стоит вылечить пульпит в Минске?
Показать цены в:
| Терапевтическая стоматология и эндодонтия | Цены для граждан Республики Беларусь | Цены для иностранных граждан |
|---|---|---|
| Консультация врача — стоматолога-терапевта (кроме совместных) | 50 BYN 35 BYN по акционной цене!!! | 50 BYN |
| Совместная консультация 2-ух специалистов | 50 BYN | 60 BYN |
| Реставрация зубов и эстетическая стоматология | ||
| Пломба малая (при разрушении коронковой части зуба до 1/3) | ** | ** |
| Пломба большая (при разрушении коронковой части зуба более 1/2) | ** | ** |
| Оттиск (слепок) перед лечением кариеса | ** | ** |
| Использование системы Коффердам | ** | ** |
| Пломба средняя (при разрушении коронковой части зуба от 1/3 до 1/2) | ** | ** |
| Пломба Ketak (для отсроченной пломбировки) | ** | ** |
| Компонир | ** | ** |
| Лечение глубокого кариеса (с пломбой более 1/2 и укреплением зуба) | ** | ** |
| Пломба большая (при разрушении коронковой части зуба более 1/2), усиленная стекловолоконным материалом | ** | ** |
| Лечение каналов без микроскопа | ||
| Лечение каналов с использованием бинокулярной оптики (за 1 канал) | ** | ** |
| Вскрытие пульпита: наложение девитализирующей пасты + временная пломба | ** | ** |
| Лечение 1 корневого канала без микроскопа (включает мех. и мед. обработку + пломбировка гуттаперчей) | ** | ** |
| Лечение 1 корневого канала без микроскопа(включает мех. и мед. обработку + пломбировку кальций содержащим материалом) | ** | ** |
| Пломбировка 1 корневого канала после пломбировки кальцием (включает мех. и мед. обработку + пломбировку гуттаперчей) | ** | ** |
| Лечение каналов под микроскопом | ||
| Лечение 1 корневого канала под микроскопом (включает мех. и мед. обработку + пломбировка гуттаперчей) | ** | ** |
| Лечение 1 корневого канала под микроскопом(включает мех. и мед. обработку + пломбировку кальций содержащим материалом) | ** | ** |
| Пломбировка 1 корневого канала после пломбировки кальцием (включает мех. и мед. обработку + пломбировку гуттаперчей) | ** | ** |
| Перелечивание каналов | ||
| Перелечивание 1 корневого канала под микроскопом (включает распломбировку + мех. и мед. обработку + пломбировка гуттаперчей) в одно посещение | ** | ** |
| Перелечивание 1 корневого канала под микроскопом (включает распломбировку + мех. и мед. обработку + пломбировку кальций содержащим материалом) | ** | ** |
| Перелечивание 1 корневого канала с использованием бинокулярной оптики (включает распломбировку + мех. и мед. обработку + пломбировка гуттаперчей) в одно посещение | ** | ** |
| Перелечивание 1 корневого канала с использованием бинокулярной оптики (включает распломбировку + мех. и мед. обработку + пломбировку кальций содержащим материалом) | ** | ** |
| Пломбировка 1 корневого канала после пломбировки кальцием под микроскопом (включает мех. и мед. обработку + пломбировка гуттаперчей) | ** | ** |
| Перелечивание 1 корневого канала без микроскопа (включает распломбировку + мех. и мед. обработку + пломбировка гуттаперчей) в одно посещение | ** | ** |
| Перелечивание 1 корневого канала без микроскопа (включает распломбировку + мех. и мед. обработку + пломбировку кальций содержащим материалом) | ** | ** |
| Пломбировка 1 корневого канала кальцием без микроскопа (включает мех. и мед. обработку + пломбировка гуттаперчей) | ** | ** |
| Извлечение штифта культевой вкладки из одного канала | ** | ** |
| Извлечение штифта культевой вкладки из одного канала с использованием бинокулярной оптики | ** | ** |
| Обезболивание | ||
| Инфильтрационная, проводниковая анестезия (указана стоимость за введение 1 дозы препарата) | ** | ** |
*Информация о ценах на сайте представлена справочно, за более точной информацией обращайтесь в клинику.
Стоимость лечения определяется в индивидуальном порядке и зависит от ряда факторов:
- общего плана терапии;
- клинической картины пульпита;
- особенностей анатомии зуба;
- количества каналов, требующих пломбирования;
- выбранного метода лечения.
Цены на услуги клиники ЭверестДент представлены на сайте в разделе прайс-листа и являются ориентировочными. Точная стоимость озвучивается по результатам консультации.
Лечение пульпита в клинике ЭверестДент
Стоматологи нашей клиники лечат пульпит витальным способом, что позволяет справиться с заболеванием без боли и в одно-два посещения. Передовые методики, современное оборудование и лучшие препараты – залог успешного лечения любых стоматологических заболеваний.
Отзывы после лечения пульпита в ЭверестДент
Место, куда хочется приходить и наслаждаться. Уютная клиника, дружелюбный персонал. Все посещения проходят максимально комфортно и приятно, спасибо. Квалифицированные врачи и мастера своего дела 👍
Отличная стоматология! Всегда принимают вовремя, вежливо обслуживают и профессионально консультируют. Советую всем друзьям!
Была у стоматолага Есауловой Анастасии, осталась очень довольна! Зубик был в плохом состоянии, под старой пломбой был кариес, но Анастасия меня успокоила и супер комфортно провела процедуру удаления кариеса и установки новой пломбы) Всё быстро чётко и по делу, проконсультировала, дала все рекомендации) Большая благодарность Анастасии !
Вопрос-ответ:
Стоматологи клиники ЭверестДент делают все возможное, чтобы сохранить зуб живым. Иногда удаление нерва является вынужденным шагом.
Витальная методика лечения позволяет справиться с данной задачей в один визит. В отдельных случаях может потребоваться повторное посещение.
Современная анестезия и инновационные методики терапии позволяют нам гарантировать безболезненность процедуры.
Никакие обезболивающие и противовоспалительные медикаменты неспособны вылечить столь серьезное заболевание. Единственное решение – обращение к врачу.




