
Заболевание полости рта с рекордной статистикой распространения по миру – кариес зубов. Данная патология славится особым коварством и способностью протекать совершенно незаметно. Болезнь постепенно разрушает ткань зуба и, при отсутствии своевременного лечения, может привести к его потере.
Кариозный процесс развивается поэтапно и со временем вызывает острый болевой синдром.
Самое важное в вопросах лечения кариеса зубов – своевременное обращение к врачу. Если откладывать визит к стоматологу в долгий ящик, удаление кариеса потребует в разы больше времени и средств.
Что приводит к развитию кариеса?
Главными предвестниками данного заболевания ротовой полости служат стрептококки. Именно они продуцируют кислоты, негативно воздействующие на состояние эмали и твердых тканей зуба. Полость рта человека – обитель множества микроорганизмов, что требует самой тщательной гигиены при использовании качественной пасты и зубной нити. Если пренебрегать уходом, это неизбежно приведет к чрезмерному скоплению бактерий на эмали и ее постепенному размягчению.
Главными факторами развития кариеса являются:

- Недостаточно тщательный уход за ротовой полостью.
- Выбор неподходящей по составу пасты, некачественной щетки.
- Чистка зубов, не соблюдая правильную технику.
- Несбалансированный рацион с дефицитом витаминов, кальция, белка и преобладанием мягкой углеводной пищи.
- Нарушение процессов, связанных с формированием твердых тканей.
- Заболевания органов пищеварительной системы.
- Слабый иммунитет.
- Нехватка фтора.
Как развивается кариес?
Заболевание протекает поэтапно и сопровождается постепенным усилением болевого синдрома:

- Начальный этап («белое пятно»). Вследствие нехватки минералов, эмаль зубов теряет былой блеск и покрывается еле заметными белесыми пятнами. Они указывают на то, что кариозный процесс уже начался. Как правило, такие пятна пациенты наблюдают только в зоне улыбки. Выявить их на жевательных зубах можно только при профилактическом осмотре.
- Поверхностный кариес. Если заболевание не было обнаружено на начальном этапе, со временем степень повреждения зубной эмали увеличивается. Кариес становится более заметным и темным, планомерно образуя полости. При этом болезненных ощущений все еще нет, так как на данной стадии развития болезнь не затрагивает дентин. Зуб может незначительно реагировать на сладкое, кислое.
- Средний кариес. Сопровождается поражением эмали и дентина. Болезненные ощущения несколько усиливаются: зуб реагирует на холодный воздух, сладости, интенсивные жевательные нагрузки.
- Глубокий кариес. На данном этапе кариозный процесс носит обширный характер и добирается до пульпы. Не заметить проблему уже нельзя: возникает острая, порой нестерпимая боль даже в состоянии покоя. Могут развиться осложнения в виде пульпита, периодонтита. Если не вылечить кариес в стоматологии, это чревато потерей зуба.
Формы кариеса и их особенности
Вид данного заболевания определяется его локализацией:

Межзубный кариес
Поражает боковые участки в межзубных промежутках. Также данная форма известна как скрытая, когда кариозный процесс протекает под слоем зубной эмали и выявить его очень непросто.

Пришеечный кариес
Локализуется в месте соединения коронковой части зуба и десны.

Фиссурный кариес
Развивается в углублениях, образуемых на поверхности жевательных единиц.

Корневой кариес
Повреждает корни и служит результатом не вылеченного пришеечного кариеса.
Меры профилактики
Взяв во внимание, сколько стоит лечение кариеса, в разы дешевле и проще предупредить его развитие. Поддерживать здоровье зубов помогут следующие рекомендации:
- Врачи настоятельно советуют ограничить присутствие в рационе высокоуглеводной пищи, сладостей. Особый вред для эмали представляют сладкие газированные напитки.
- Меню следует дополнить продуктами, богатыми белком и сложными углеводами.
- Как минимум дважды в год необходимо посещать стоматолога-гигиениста для профессиональной чистки и лечения зубов.
- В домашних условиях рекомендуется тщательный уход с использованием подходящей пасты, щетки с щетиной средней жёсткости, зубной нити, ирригатора.
- Всегда полезно отказаться от употребления спиртного, курения.
- Другой немаловажный фактор профилактики кариеса – контроль за витаминами и состоянием иммунитета.
Современный подход лечения кариеса в клинике ЭверестДент
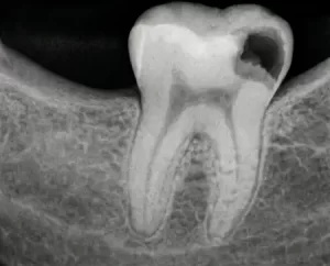
Методы терапии определяются степенью повреждения зуба, формой заболевания и общим состоянием здоровья пациента. На цену лечения кариеса зубов влияют и другие факторы, включая локализацию очага. Для выявления точной причины болезни и назначения курса терапии проводятся визуальный осмотр полости рта и рентгенодиагностика.
В стоматологической клинике ЭверестДент практикуются следующие методы:
- Если болезнь обнаружена на начальном этапе ее развития, первым делом назначается гигиеническая чистка. Таким образом эмаль зубов освобождается от налета и камня. Следующий этап – обработка специальным фторсодержащим составом.
- При выявлении поверхностного кариеса вылечить зуб можно без анестезии и сверления. В этом помогает инновационная методика ICON, суть которой заключается в нанесении на пострадавшие участки зуба специального средства. Оно проникает в самую глубь эмали и не позволяет тканям разрушаться. Метод нетравматичный, безболезненный и эффективный.
- При среднем и глубоком кариесе без препарирования пострадавших тканей не обойтись. Это необходимо для профилактики дальнейшего распространения инфекции и прогрессирования болезни. После высверливания пораженных участков стоматолог приступает к пломбированию. В случае со средней стадией кариеса вылечить зуб можно за один визит. При глубоком кариозном процессе чаще требуется не менее 2-3 посещений.
Сколько стоит убрать кариес зубов в Минске?
Показать цены в:
| Терапевтическая стоматология и эндодонтия | Цены для граждан Республики Беларусь | Цены для иностранных граждан |
|---|---|---|
| Консультация врача — стоматолога-терапевта (кроме совместных) | 50 BYN 35 BYN по акционной цене!!! | 50 BYN |
| Совместная консультация 2-ух специалистов | 50 BYN | 60 BYN |
| Реставрация зубов и эстетическая стоматология | ||
| Пломба малая (при разрушении коронковой части зуба до 1/3) | ** | ** |
| Пломба большая (при разрушении коронковой части зуба более 1/2) | ** | ** |
| Оттиск (слепок) перед лечением кариеса | ** | ** |
| Использование системы Коффердам | ** | ** |
| Пломба средняя (при разрушении коронковой части зуба от 1/3 до 1/2) | ** | ** |
| Пломба Ketak (для отсроченной пломбировки) | ** | ** |
| Компонир | ** | ** |
| Лечение глубокого кариеса (с пломбой более 1/2 и укреплением зуба) | ** | ** |
| Пломба большая (при разрушении коронковой части зуба более 1/2), усиленная стекловолоконным материалом | ** | ** |
| Лечение каналов без микроскопа | ||
| Лечение каналов с использованием бинокулярной оптики (за 1 канал) | ** | ** |
| Вскрытие пульпита: наложение девитализирующей пасты + временная пломба | ** | ** |
| Лечение 1 корневого канала без микроскопа (включает мех. и мед. обработку + пломбировка гуттаперчей) | ** | ** |
| Лечение 1 корневого канала без микроскопа(включает мех. и мед. обработку + пломбировку кальций содержащим материалом) | ** | ** |
| Пломбировка 1 корневого канала после пломбировки кальцием (включает мех. и мед. обработку + пломбировку гуттаперчей) | ** | ** |
| Лечение каналов под микроскопом | ||
| Лечение 1 корневого канала под микроскопом (включает мех. и мед. обработку + пломбировка гуттаперчей) | ** | ** |
| Лечение 1 корневого канала под микроскопом(включает мех. и мед. обработку + пломбировку кальций содержащим материалом) | ** | ** |
| Пломбировка 1 корневого канала после пломбировки кальцием (включает мех. и мед. обработку + пломбировку гуттаперчей) | ** | ** |
| Перелечивание каналов | ||
| Перелечивание 1 корневого канала под микроскопом (включает распломбировку + мех. и мед. обработку + пломбировка гуттаперчей) в одно посещение | ** | ** |
| Перелечивание 1 корневого канала под микроскопом (включает распломбировку + мех. и мед. обработку + пломбировку кальций содержащим материалом) | ** | ** |
| Перелечивание 1 корневого канала с использованием бинокулярной оптики (включает распломбировку + мех. и мед. обработку + пломбировка гуттаперчей) в одно посещение | ** | ** |
| Перелечивание 1 корневого канала с использованием бинокулярной оптики (включает распломбировку + мех. и мед. обработку + пломбировку кальций содержащим материалом) | ** | ** |
| Пломбировка 1 корневого канала после пломбировки кальцием под микроскопом (включает мех. и мед. обработку + пломбировка гуттаперчей) | ** | ** |
| Перелечивание 1 корневого канала без микроскопа (включает распломбировку + мех. и мед. обработку + пломбировка гуттаперчей) в одно посещение | ** | ** |
| Перелечивание 1 корневого канала без микроскопа (включает распломбировку + мех. и мед. обработку + пломбировку кальций содержащим материалом) | ** | ** |
| Пломбировка 1 корневого канала кальцием без микроскопа (включает мех. и мед. обработку + пломбировка гуттаперчей) | ** | ** |
| Извлечение штифта культевой вкладки из одного канала | ** | ** |
| Извлечение штифта культевой вкладки из одного канала с использованием бинокулярной оптики | ** | ** |
| Обезболивание | ||
| Инфильтрационная, проводниковая анестезия (указана стоимость за введение 1 дозы препарата) | ** | ** |
*Информация о ценах на сайте представлена справочно, за более точной информацией обращайтесь в клинику.
На лечение кариеса стоимость в клинике ЭверестДент рассчитывается индивидуально по результатам консультации и осмотра. Итоговая сумма зависит от особенностей клинической картины, степени повреждения зуба, выбранной тактики терапии.
Узнать, сколько стоит полечить кариес в клинике и как записаться на прием стоматолога, можно на нашем сайте или по указанным номерам.
Результат удаления кариеса в ЭверестДент


Отзывы после лечения кариеса
Это моё уже не первое посещение и я каждый раз выхожу из стоматологии с ответами на все интересующие меня вопросы.
3-часовое лечение у Медведской А.Н. прошло очень комфортно и безболезненно. Так же довольна эстетической частью лечения, улыбка теперь на высоте!!!
Все зубы вылечила. Отличный врачи прекрасный сервис. Очень довольна и рекомендую эту стоматологию😁
Прохожу лечение в клинике у прекраснейшего врача Тамилович Гельнуры Вильевны, на каждый прием иду с удовольствием, очень приятный человек, даже немножко жаль, что уже скоро нужно будет ходить реже , только на поддерживающие процедуры. Делала сегодня отбеливание, вышла из кабинета новым человеком. Рекомендую всем❤️
Вопрос-ответ:
Каждый стоматолог ответит на данный вопрос утвердительно. Материал пломбы со временем изнашивается: пломба трескается, теряет былую стабильность и требует замены. Также не исключено развитие вторичного кариеса под пломбой.
Однозначно нет: подобное допустимо только в исключительных случаях окклюзионной коррекции.
Ошибочный стереотип, о котором пора забыть. Лечить кариес при наличии показаний можно на любом сроке беременности, но лучше всего во втором триместре.
Спорный вопрос, решить который может только стоматолог по результатам диагностики. Лечение «восьмерок» целесообразно, если заболевание выявлено на раннем этапе развития. Также имеет смысл удалить кариес зуба мудрости, способного выполнять роль опорного при запланированном протезировании.
Итог всегда один: болезнь будет прогрессировать и осложняться. В результате зуб может полностью разрушиться или потребовать удаления.
Да, если это поверхностный кариес. С данной задачей отлично справляется методика малоинвазивной терапии Icon. Технология позволяет уничтожить болезнетворные микроорганизмы с помощью специального геля и герметизации эмали. Лечение проходит максимально комфортно для пациента, без боли и стресса.
Появление на эмали темных точек обычно наблюдается в фиссурах. Иногда это может быть следствием употребления красящих продуктов и напитков. При этом важно понимать, что со временем данные участки размягчаются и слабеют, становясь уязвимыми. Бактерии быстро добираются до дентина и вызывают патологический процесс. Поэтому посетить стоматолога стоит сразу после обнаружения темных точек.
Темные пятна на эмали говорят о том, что кариес в стадии пятна приостановился и перешел в хроническую форму. Стоит отметить, что не все пятна на зубах требуют лечения, иногда достаточно наблюдения.




